Smile makeovers

Discover how we can transform your smile with bespoke treatment plans designed around your goals. Whether you want a brighter, straighter, or more confident smile, our clinicians use the latest techniques to create beautiful, natural-looking results tailored just for you.

Transform your smile today

See real results from real patients.

Our gallery showcases the life-changing transformations achieved at Prudhoe Dental Practice, from subtle enhancements to complete smile makeovers. Every image reflects our commitment to quality, care, and precision.

Close-up of a person's mouth with missing front teeth and decayed, crooked teeth.

Before

Close-up of a person's smiling mouth showing their teeth and lips.

After

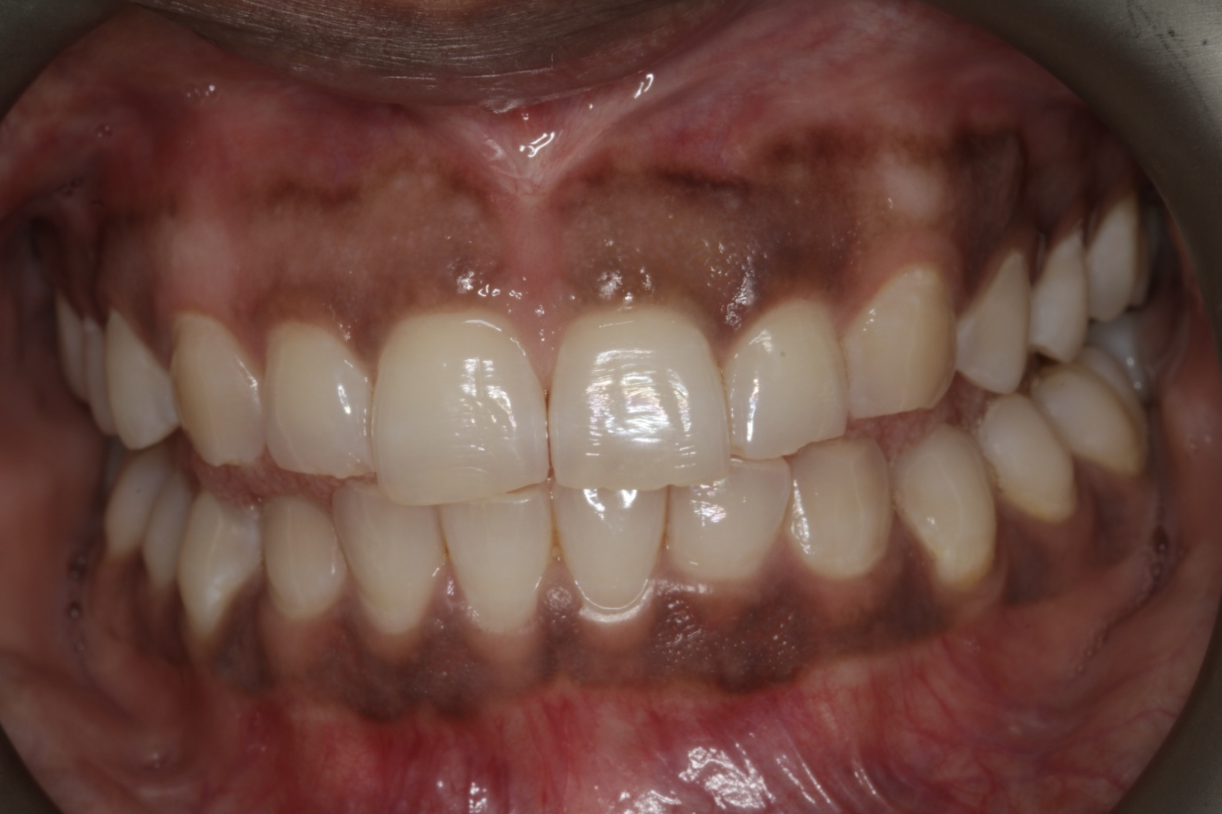
Close-up of a person's open mouth with dental retractor showing teeth and gums.

Before

Close-up of a person's open mouth showing upper and lower teeth with some misalignment and gum redness.

After

Close-up of an elderly person's mouth showing severely decayed, discolored, and broken teeth.

Before

Close-up of a person's smiling mouth showing upper teeth and part of the lower teeth. The individual has facial hair and light skin.

After

We believe every patient deserves clarity and confidence at every stage of their smile journey. Our step-by-step process outlines exactly what to expect from your initial consultation and treatment planning to your final results and post-care support. Transparent, thorough, and designed to put you at ease.

Your journey starts with a personalised consultation. During this appointment, we will discuss your concerns, assess your oral health, and explore treatment options that best suit your goals. You will receive expert guidance, clear pricing, and a tailored plan to help you achieve the smile you’ve always wanted.

A woman at the dentist's office smiling as she looks in a mirror held by the dentist, with dental tools and equipment visible around.